歯周病について
当院は歯周病治療に豊富な実績があります。

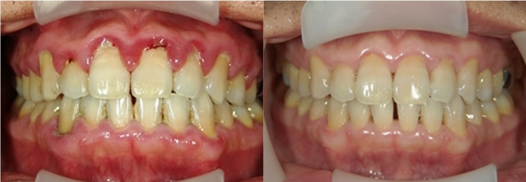
東京都港区浜松町にある東京浜松町大西歯科クリニックは、1997年の開業当初から歯周病治療に力を入れています。
当院では歯周病治療の症例を患者様同意の元で公開しておりますが、歯周病でお困りの患者様に対して当院が経験してきた全てを注ぎ込んで治療にあたっています。
歯周病でお困りなら、実績豊富な当院にいらしてください。きっとお役に立てると思います。
歯周病治療は歯科衛生士の力量が結果を左右する

歯周病はドクターだけの問題ではありません。歯周病治療の中で1番関わる人物は、「歯科衛生士」です。歯科衛生士の力量によって歯周病治療の結果が左右されると言っても過言ではありません。
当院には歯周病を熟知した歯科衛生士が在籍しており、当院の歯周病治療の症例はすべて歯科衛生士が関わっています。歯周病治療の成功の鍵は、歯科衛生士が握っていると言っても過言ではありません。歯周病治療をお考えなら、歯科衛生士について詳しく説明している歯科医院を選択しましょう。
当院が選ばれる理由
当院が選ばれる理由の一つが症例が豊富であることです。治療結果を掲載できることは、患者様と二人三脚で治療してきた結果であり、治療に対するこだわりと信念を表していると考えています。
2. 検査へのこだわり

歯周病の検査にこだわっています。「木を見て森を見ず」という言葉がありますが、目先の治療を行っても、原因を絶たなければ歯周病は再発をしてしまいます。歯周病の検査は治療計画だけでなく、治療後に良好な状態を維持するために必要な指標も加味されます。
歯周病でお困りの患者様に対して、妥協なく検査を行い、治療計画からメンテナンス計画まで包括してご提案し、納得して治療を進めていただいています。
3. 機能の回復へのこだわり
歯周病は中等度以上になると、口臭や出血だけでなく、歯がぐらついたり食事が困難になってきます。「しっかり噛めて、楽しく会話できる」という人間に必要な機能回復を意識して歯周病治療に取り組んでいます。歯周病で歯を失ったからと言って諦めずに、理想の状態を目指して治療を行います。
4. 残せる歯を残す
歯周病が治療を行なう上で、残せる歯を残す努力をしています。重度の歯周病の場合は残せるか、抜歯しなければならないかの判断は非常に難しく、エビデンスや経験に基づいて検討する必要があります。しかし、残せた歯を抜歯しないよう最新の注意をはらい治療を行なうことをお約束します。








